Before and After Double Eyelid Surgery in Chevy Chase, MD - Washington, D.C.
Dr. David Kung offers double eyelid surgery for the residents of Chevy Chase, MD, Washington, DC, and the greater metropolitan area.
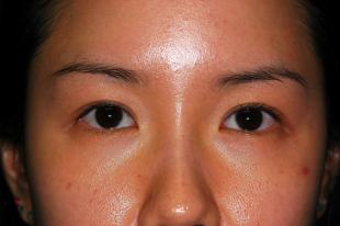
Double eyelid surgery creates a natural crease in the eyelid that appears when the eyes are open, but not when they are closed. Nearly 50% of Asians are born with eyes that have "single eyelids," in which case there is no crease that forms in the top lids when the eyes are open.
If you are considering double eyelid surgery, check out Kung Plastic Surgery double eyelid surgery before and after photos.





